Before & After
Dental Implant
Smile transformation with Dental Implant treatment
Before & After
Invisalign®
Before & After
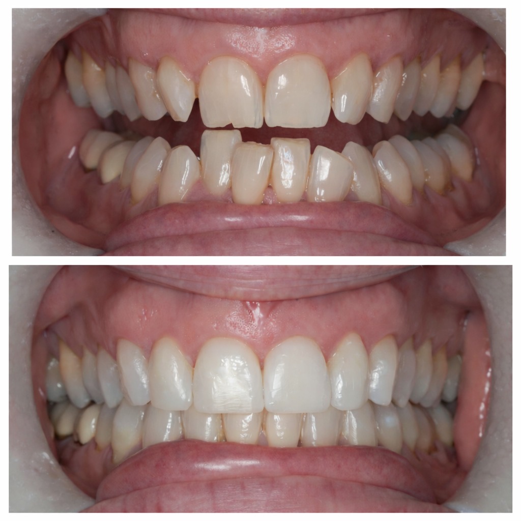
Composite Bonding
Smile transformation with composite bonding treatment
Before & After
Before & After
Smile transformation with Dental Implant treatment
Before & After
Before & After
Smile transformation with composite bonding treatment